Nos réalisations sont de qualité, notre expertise allie le meilleur des techniques traditionnelles poussées à leur paroxysme avec l’utilisation du binoculaire et le meilleur des nouvelles technologies.
La rencontre des deux permet de vous proposer des résultats et un rapport qualité prix largement optimisés.
Témoignage d’une cliente conquise et satisfaite !
« À 42 ans, je n’osais plus vraiment sourire… trop gênée par la couleur et les imperfections de mon email… Grâce aux conseils de mon dentiste et de mon prothésiste, j’ai opté pour des facettes dentaires qui ont corrigé mes défauts tout en conservant un sourire 100% naturel.
Au delà de l’aspect esthétique , j’ai conservé mes dents et en définitive les sensations sont exactement les mêmes qu’avant. Après la pose des facettes, mon entourage m’a demandé ce que j’avais changé et ce qui me rendait plus lumineuse… ils ont pour la plupart pensé que j’avais juste été chez le coiffeur ! »
Merci pour son témoignage !
Exemples de réalisations
Travail de montre : Dents réalisées complètement en céramique en une cuisson. Les effets sont entièrement faits en interne pour un réalisme naturel sous tous les angles de vision. Le travail de polissage permet d’adapter les zones de brillance pour obtenir une parfaite intégration.

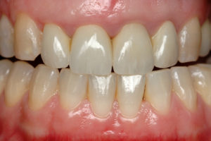
Respect des tissus pour une meilleur pérennité dans le temps sur ces quatre couronnes céramo-métalliques :

Centrale supérieure unitaire :

Réhabilitation occlusale complète en overlays :

Bridge implantaire scellé en céramo-métalliques pour rattraper le positionnement vestibulaire des implants :


Le Laboratoire Baudry propose dès le début des solutions simples et efficaces. Nous harmonisons les plans de traitements pour les rendre compatibles avec les désirs et des praticiens et patients.
![]()
Bridge zircone réalisé au maxillaire (photo prise juste après la pose) :

![]()
Refonte du sourire avec reproduction de détails internes pour une intégration naturelle :





